Volume 31, Number 10—October 2025
Research Letter
Cutaneous Coccidioidomycosis Mimicking Rosacea in Immunosuppressed Patient, Arizona, USA, 2024
Figure 2

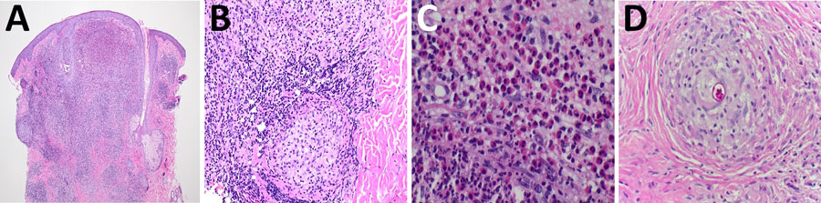
Figure 2. Histopathologic findings in case of cutaneous coccidioidomycosis mimicking rosacea in immunosuppressed patient, Arizona, USA, 2024. A–C) Granulomatous inflammation with mixed infiltrate of lymphocytes, histiocytes, neutrophils, and eosinophils. Hematoxylin and eosin stain; original magnifications ×2 (A), ×20 (B), and ×40 (C). D) Periodic acid–Schiff staining demonstrating a coccidioidal spherule containing endospores within a granuloma. Original magnification ×40.
Page created: August 20, 2025
Page updated: September 25, 2025
Page reviewed: September 25, 2025
The conclusions, findings, and opinions expressed by authors contributing to this journal do not necessarily reflect the official position of the U.S. Department of Health and Human Services, the Public Health Service, the Centers for Disease Control and Prevention, or the authors' affiliated institutions. Use of trade names is for identification only and does not imply endorsement by any of the groups named above.