Disclaimer: Early release articles are not considered as final versions. Any changes will be reflected in the online version in the month the article is officially released.
Volume 31, Number 11—November 2025
Dispatch
Borrelia afzelii Hepatitis in Patient Treated with Venetoclax and Obinutuzumab, Switzerland
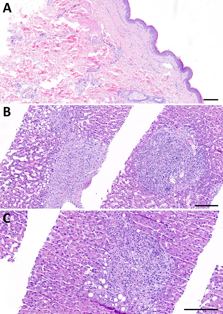
Figure 2

Figure 2. Histopathology of skin and liver for reported case of early disseminated Lyme borreliosis with multiple erythema migrans and hepatitis in a 62-year-old immunosuppressed patient treated with venetoclax and obinutuzumab, Switzerland. A) Skin biopsy from an erythema chronicum migrans lesion on the gluteal region, stained with hematoxylin and eosin. The histology reveals a mild superficial and deep perivascular dermatitis characterized by a sparse, predominantly lymphocytic inflammatory infiltrate, without evidence of plasma cells. B–C) Liver biopsy stained with hematoxylin and eosin showing features of chronic cholestatic hepatitis with superimposed acute cholangitis, while maintaining an overall preserved lobular architecture. Key histological findings include marked sinusoidal dilatation (peliosis); expanded, markedly edematous portal tracts without fibrosis; and prominent ductular proliferates with intraepithelial and intraluminal neutrophilic infiltrates consistent with neutrophilic cholangitis. Neutrophilic infiltrates were also observed within the sinusoids. Additional features included portal ceroid-laden macrophages and microvesicular steatosis. Scale bars indicate 200 µm.