Volume 31, Number 11—November 2025
Research Letter
Yellow Fever Virus in Aedes albopictus Mosquitoes from Urban Green Area, São Paulo State, Brazil
Figure

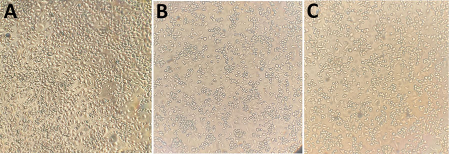
Figure. Optical microscopic analysis of C6/36 cell culture infected by yellow fever virus in Aedes albopictus mosquitoes from an urban green area (University of São Paulo, Ribeirão Preto campus), São Paulo State, Brazil. A) Mock (uninfected control cells). B) Yellow fever virus isolated in passage 1, five days postinfection. C) YFV isolated in passage 2, ≈10 days postinfection. Original magnification × 40.
Page created: September 30, 2025
Page updated: December 10, 2025
Page reviewed: December 10, 2025
The conclusions, findings, and opinions expressed by authors contributing to this journal do not necessarily reflect the official position of the U.S. Department of Health and Human Services, the Public Health Service, the Centers for Disease Control and Prevention, or the authors' affiliated institutions. Use of trade names is for identification only and does not imply endorsement by any of the groups named above.