Disclaimer: Early release articles are not considered as final versions. Any changes will be reflected in the online version in the month the article is officially released.
Volume 31, Number 11—November 2025
Research Letter
Fatal Tick-Borne Encephalitis in Unvaccinated Traveler from the United States to Switzerland, 2022
Figure

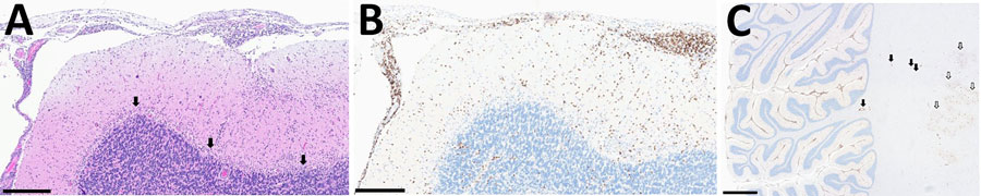
Figure. Neuropathologic autopsy findings from cerebellum of unvaccinated traveler from the United States who died of tickborne encephalitis, Switzerland, 2022. A) shows Extensive lymphocytic infiltrate involving both leptomeninges and cerebellar parenchyma with depletion of the Purkinje cell layer (arrows). Scale bar represents 300 μm. B) The infiltrate consisted predominantly of cluster of differentiation 3 + T cell lymphocytes. Scale bar represents 300 μm. C) Low magnification illustrates the diffuse and extensive nature of the infiltrate also involving the white matter with perivascular accentuation (black arrows) and the dentate nucleus (white arrows). Scale bar represents 3 mm. Hematoxylin and eosin staining.
1These authors contributed equally to this article.