Case of Congenital Tularemia with Neuroinvasive Disease, Utah, USA
Brent D. Nelson

, Amara Finch, Krow Ampofo, Elizabeth L. Ryals, Andrew T. Pavia, Anne J. Blaschke, Jody L. Lin, Benjamin Kalm, Angie White, Kacy D. Nowak, Julian A. Villalba, Julu Bhatnagar, Bert Lopansri, and Elizabeth D. Knackstedt
Author affiliation: University of Utah School of Medicine, Salt Lake City, Utah, USA (B.D. Nelson, A. Finch, K. Ampofo, A.T. Pavia, A.J. Blaschke, J.L. Lin, B. Kalm, B. Lopansri, E.D. Knackstedt); Primary Children’s Hospital, Salt Lake City (E.L. Ryals); Bear River Health Department, Logan, Utah, USA (A. White); Utah Department of Health and Human Services, Salt Lake City (K.D. Nowak); Centers for Disease Control and Prevention, Atlanta, Georgia, USA (J.A. Villalba, J. Bhatnagar); Intermountain Medical Center, Murray, Utah, USA (B. Lopansri)
Main Article
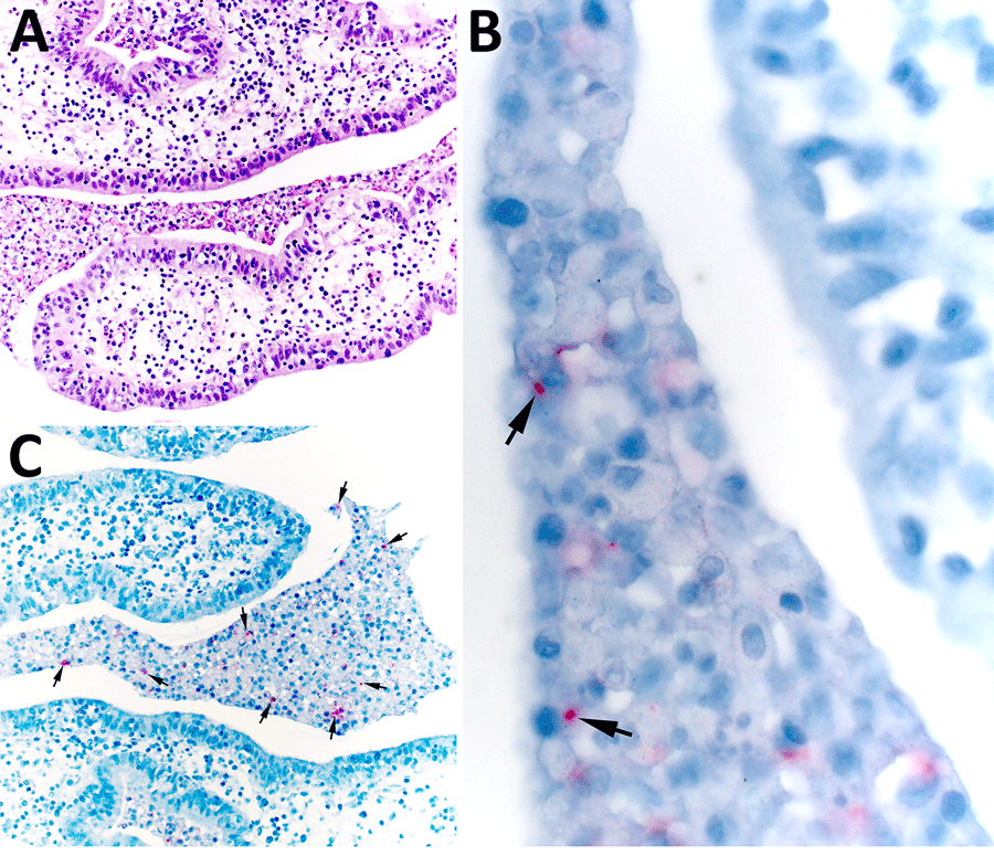
Figure 2

Figure 2. Histopathology in study of congenital tularemia with neuroinvasive disease, Utah, USA. Histopathological evaluation revealed the presence of subacute suppurative salpingitis with serositis. A) Hematoxylin and eosin–stained tissue showing abundant necroinflammatory debris in the lumen of the left fallopian tube. The endosalpinx was edematous, and infiltrating neutrophils and mononuclear cells were seen in the lamina propria and tubal epithelium. Original magnification ×200. B) Higher-power microphotograph highlights immunostaining within intracellular coccobacilli (arrows). Original magnification ×630. C) Francisella tularensis immunohistochemistry showing immunoreactive granular forms of bacterial antigens (arrows) within areas of the luminal necroinflammatory infiltrate. Original magnification ×200.
Main Article
Page created: November 18, 2025
Page updated: January 01, 2026
Page reviewed: January 01, 2026
The conclusions, findings, and opinions expressed by authors contributing to this journal do not necessarily reflect the official position of the U.S. Department of Health and Human Services, the Public Health Service, the Centers for Disease Control and Prevention, or the authors' affiliated institutions. Use of trade names is for identification only and does not imply endorsement by any of the groups named above.