Volume 32, Number 1—January 2026
Dispatch
Sphingobacterium hotanense Infections in Immunocompromised Patients, United States
Figure 2

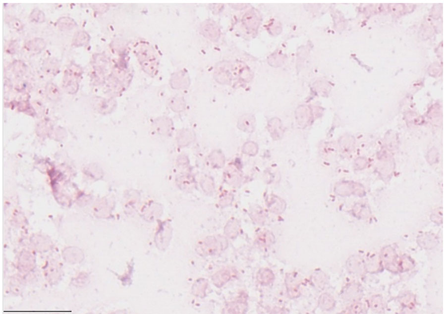
Figure 2. Gram stain of positive blood culture from patient in case 1 in report of Sphingobacterium hotanense infections in immunocompromised patients, Minnesota, USA. Numerous gram-negative bacilli are shown (pink rods), representing S. hotanense infection. Scale bar indicates 20 μm.
Page created: December 06, 2025
Page updated: January 29, 2026
Page reviewed: January 29, 2026
The conclusions, findings, and opinions expressed by authors contributing to this journal do not necessarily reflect the official position of the U.S. Department of Health and Human Services, the Public Health Service, the Centers for Disease Control and Prevention, or the authors' affiliated institutions. Use of trade names is for identification only and does not imply endorsement by any of the groups named above.