Disclaimer: Early release articles are not considered as final versions. Any changes will be reflected in the online version in the month the article is officially released.
Volume 32, Number 4—April 2026
Dispatch
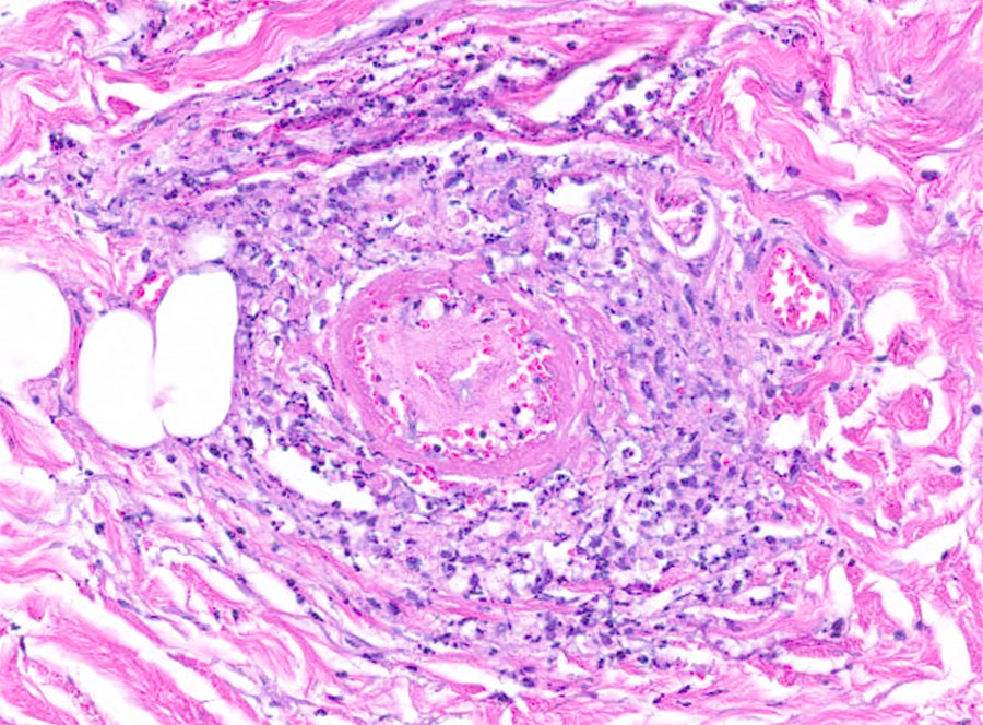
Disseminated Acanthamoeba Infection with Necrotic Skin Lesions and Granulomatous Vasculitis, United States
Figure 3

Figure 3. Periodic acid–Schiff positive histiocytoid cells from a patient with disseminated Acanthamoeba infection with necrotic skin lesions and granulomatous vasculitis. Magnification ×200.
Page created: March 12, 2026
Page updated: April 09, 2026
Page reviewed: April 09, 2026
The conclusions, findings, and opinions expressed by authors contributing to this journal do not necessarily reflect the official position of the U.S. Department of Health and Human Services, the Public Health Service, the Centers for Disease Control and Prevention, or the authors' affiliated institutions. Use of trade names is for identification only and does not imply endorsement by any of the groups named above.