Bjerkandera spp. Pulmonary Infection in Immunocompromised Hosts, Germany
Rosanne Sprute

, Danila Seidel, Katrin Mehler, Zoé Westhues, Sarina K. Butzer, Jannik Stemler, Oliver A. Cornely, and Philipp Koehler
Author affiliation: German Centre for Infection Research, Cologne, Germany (R. Sprute, D. Seidel, Z. Westhues, J. Stemler, O.A. Cornely); University of Cologne Faculty of Medicine and University Hospital Cologne Institute of Translational Research, Cologne Excellence Cluster on Cellular Stress Responses in Aging-Associated Diseases, Cologne (R. Sprute, D. Seidel, Z. Westhues, J. Stemler, O.A. Cornely, P. Koehler); University of Cologne Faculty of Medicine and University Hospital Cologne Department of Internal Medicine, Center for Integrated Oncology Aachen Bonn Cologne Duesseldorf and ECMM Excellence Center for Medical Mycology, Cologne (R. Sprute, D. Seidel, Z. Westhues, J. Stemler, O.A. Cornely, P. Koehler); University of Cologne Faculty of Medicine and University Hospital Cologne Department of Pediatrics, Division of Pediatric Infectious Diseases, Cologne (K. Mehler, S.K. Butzer); University of Cologne Faculty of Medicine and University Hospital Cologne, Department of Pediatrics, Division of Pediatric Oncology and Hematology, Cologne (S.K. Butzer); University of Cologne Faculty of Medicine and University Hospital Cologne, Clinical Trials Centre Cologne (ZKS Köln), Cologne (O.A. Cornely); University of Cologne Faculty of Medicine and University Hospital Cologne, Department of Internal Medicine, Division of Clinical Immunology, Cologne (P. Koehler)
Main Article
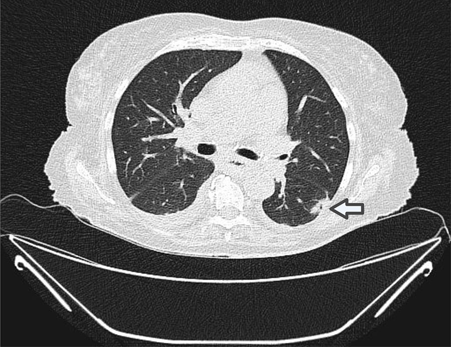
Figure 1

Figure 1. Chest computed tomography scan from an 82-year-old female patient with acute myeloid leukemia in study of Bjerkandera spp. pulmonary infection in immunocompromised hosts, Germany. Image depicts nodular infiltrates and a cavitory lesion (arrow) in the left lower lobe suggestive of fungal pneumonia. We cultured and identified a mold from bronchoalveolar lavage fluid as Bjerkandera spp. by internal transcribed spacer sequencing.
Main Article
Page created: September 26, 2025
Page updated: December 10, 2025
Page reviewed: December 10, 2025
The conclusions, findings, and opinions expressed by authors contributing to this journal do not necessarily reflect the official position of the U.S. Department of Health and Human Services, the Public Health Service, the Centers for Disease Control and Prevention, or the authors' affiliated institutions. Use of trade names is for identification only and does not imply endorsement by any of the groups named above.