Disclaimer: Early release articles are not considered as final versions. Any changes will be reflected in the online version in the month the article is officially released.
Volume 31, Number 12—December 2025
Dispatch
Abnormal Prion Protein in Nasal Swab Specimens of Macaques Infected with Creutzfeldt-Jakob Disease
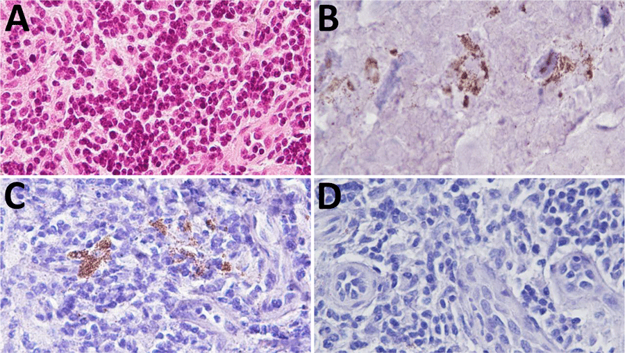
Figure 2

Figure 2. Immunohistochemistry for abnormal disease-associated prion protein (PrPTSE) and CD21 on inguinal lymph node of macaque 98CO19 for study investigating abnormal prion protein in nasal swab specimens of macaques infected with Creutzfeldt-Jakob disease. Adjacent sections were stained with hematoxylin-eosin (A); immunostained for PrPTSE (B) and CD21 (C); and probed without primary antibody as negative control (D). Original magnification ×40.
1Retired.
We transfused 4 macaques with blood of macaques previously infected with variant Creutzfeldt-Jakob disease, resulting in disease transmittal to 2 macaques (1 demonstrating clinical signs). Nasal swab specimens from both infected macaques became positive for disease-associated prion protein during the preclinical stage. Such samples are suitable for antemortem diagnosis during long incubation periods.