Volume 32, Number 2—February 2026
Dispatch
Autochthonous Rat Lungworm Angiostrongylus cantonensis Infections in Accidental and Definitive Hosts, San Diego, California, USA
Figure 2

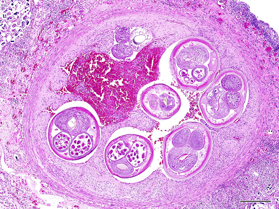
Figure 2. Lung tissue from a roof rat (Rattus rattus) with autochthonous rat lungworm Angiostrongylus cantonensis infection, San Diego, California, USA, 2025. Hematoxylin and eosin stain of pulmonary arteries with intravascular adult metastrongyle nematodes have severe endothelial proliferation. The surrounding lung parenchyma is replaced by granulomatous inflammation centered on numerous larvated and morulated eggs. Scale bar indicates 250 µm.
Page created: January 29, 2026
Page updated: February 19, 2026
Page reviewed: February 19, 2026
The conclusions, findings, and opinions expressed by authors contributing to this journal do not necessarily reflect the official position of the U.S. Department of Health and Human Services, the Public Health Service, the Centers for Disease Control and Prevention, or the authors' affiliated institutions. Use of trade names is for identification only and does not imply endorsement by any of the groups named above.