Volume 32, Number 3—March 2026
Dispatch
Natural Hendra Virus Infections in Captive Australian Black Flying Foxes, Queensland, Australia
Figure 3

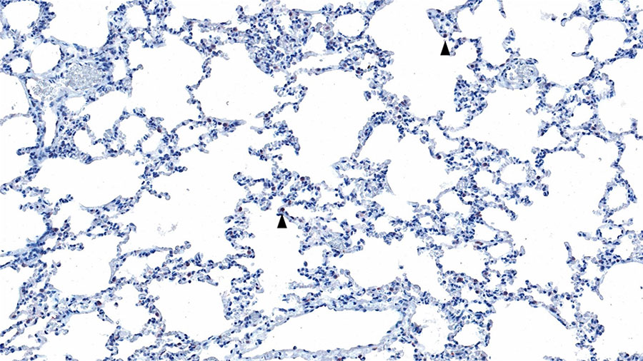
Figure 3. Histopathology of lung from a naturally infected flying fox from a study of natural Hendra virus infections in captive Australian black flying foxes, Queensland, Australia. Immunohistochemistry of bat 4, left caudal lung lobe for Hendra virus (nucleocapsid protein) using a cross-reactive Nipah virus nucleocapsid polyclonal antisera showing scattered interstitial mononuclear cells with finely granular cytoplasmic immunolabelling (arrowhead). Original magnification ×200.
Page created: February 27, 2026
Page updated: March 20, 2026
Page reviewed: March 20, 2026
The conclusions, findings, and opinions expressed by authors contributing to this journal do not necessarily reflect the official position of the U.S. Department of Health and Human Services, the Public Health Service, the Centers for Disease Control and Prevention, or the authors' affiliated institutions. Use of trade names is for identification only and does not imply endorsement by any of the groups named above.