Volume 32, Number 3—March 2026
Dispatch
Extraintestinal Entamoeba moshkovskii Infection, Eastern India
Figure 2

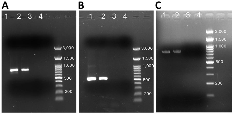
Figure 2. PCR amplification of DNA from an extraintestinal Entamoeba moshkovskii infection in a patient from eastern India. A) PCR amplification of the 18S rRNA locus of E. moshkovskii using DNA extracted from a splenic aspirate. The expected product size is 779 bp. B) PCR amplification of the chitinase locus of E. moshkovskii using DNA extracted from spleen aspirate samples. The expected product size is 480 bp. C) Amplification of the 18S rRNA locus of E. moshkovskii by PCR using DNA extracted from a stool sample. The expected product size is 779 bp. Lane 1, PCR product from patient sample; lane 2, positive control (E. moshkovskii genomic DNA); lane 3, E. histolytica genomic DNA; lane 4, negative control.
1These authors contributed equally to this article.