Volume 31, Number 12—December 2025
Research
Silent Propagation of Classical Scrapie Prions in Homozygous K222 Transgenic Mice
Figure 1

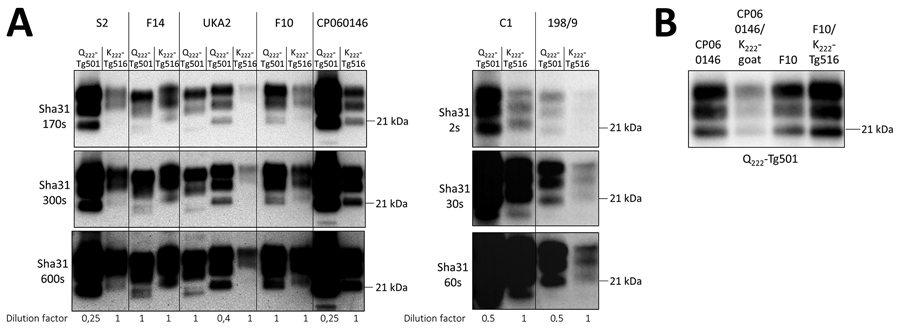
Figure 1. Proteinase K–resistant PrP (PrPres) accumulation in brains of K222-Tg516 and Q222-Tg501 homozygous mice in study of propagation of classical scrapie prions. A) Comparison of the biochemical profile of brain PrPres from classical scrapie isolates in K222-Tg516 mice with that in Q222-Tg501 mice using Sha31 monoclonal antibody. Exposure time and dilution factor are specified. B) Comparison of the biochemical profile of brain PrPres of CP060146 and F10 isolates of classical scrapie, before (left) and after (right) adaptation to the K222-PrPC context, in Q222-Tg501 mice, using the Sha31 monoclonal antibody. Molecular weight markers are indicated on the right side of each band.
1These first authors contributed equally to this article.
Page created: November 17, 2025
Page updated: January 01, 2026
Page reviewed: January 01, 2026
The conclusions, findings, and opinions expressed by authors contributing to this journal do not necessarily reflect the official position of the U.S. Department of Health and Human Services, the Public Health Service, the Centers for Disease Control and Prevention, or the authors' affiliated institutions. Use of trade names is for identification only and does not imply endorsement by any of the groups named above.