Disclaimer: Early release articles are not considered as final versions. Any changes will be reflected in the online version in the month the article is officially released.
Volume 31, Number 12—December 2025
Research
Silent Propagation of Classical Scrapie Prions in Homozygous K222 Transgenic Mice
Figure 4

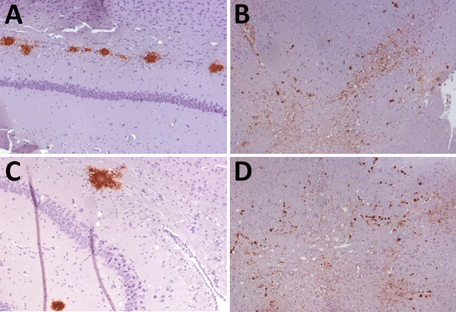
Figure 4. Immunohistochemistry results of brain tissues in study of propagation of classical scrapie prions. Images are of tissue specimens from K222-Tg516 mice inoculated with CP060146/K222 goat isolate. Results are visualized using the Sha31 monoclonal antibody. A) Hippocampus specimen tested at first passage. B) Midbrain specimen tested at first passage. C) Hippocampus specimen tested at second passage. D) Midbrain specimen tested at second passage.
1These first authors contributed equally to this article.
Page created: November 17, 2025
Page updated: December 23, 2025
Page reviewed: December 23, 2025
The conclusions, findings, and opinions expressed by authors contributing to this journal do not necessarily reflect the official position of the U.S. Department of Health and Human Services, the Public Health Service, the Centers for Disease Control and Prevention, or the authors' affiliated institutions. Use of trade names is for identification only and does not imply endorsement by any of the groups named above.