Volume 31, Number 12—December 2025
Research
Guinea Pig Model for Lassa Virus Infection of Reproductive Tract and Considerations for Sexual and Vertical Transmission
Figure 4

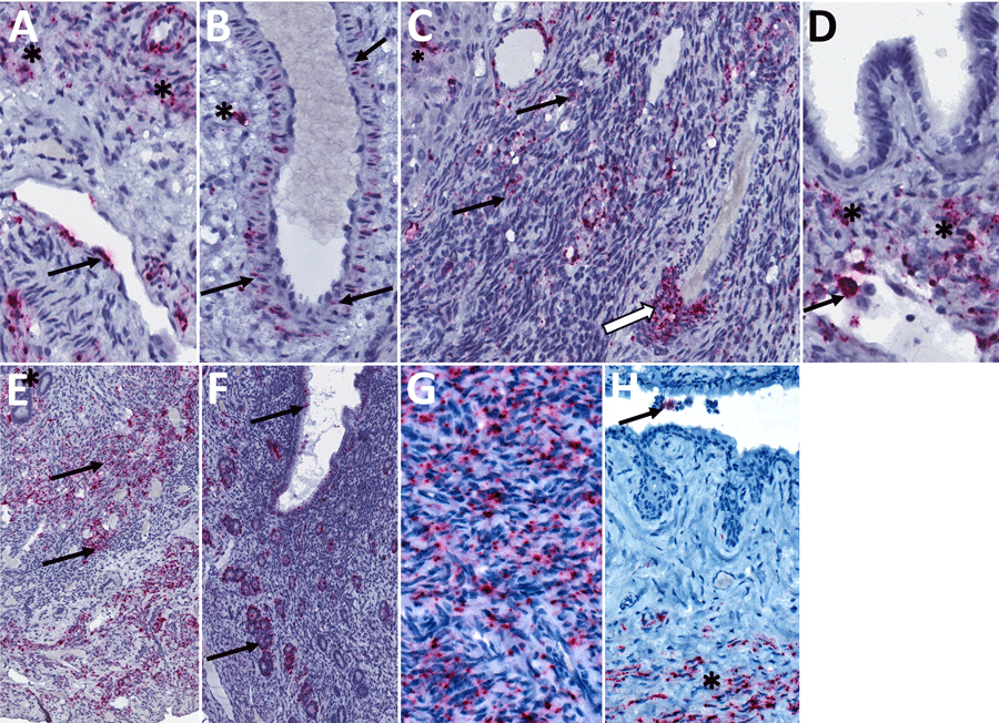
Figure 4. Detection of Lassa virus (LASV) antigens and RNA in reproductive tissues by immunohistochemistry (IHC) and in situ hybridization (ISH) in strain 13/N female guinea pigs lethally infected with LASV strain Josiah in study of guinea pig model for LASV infection of reproductive tract and considerations for sexual and vertical transmission. IHC and ISH chromogens are red. A) Uterus (25 dpi), ISH. Staining in interstitial mesenchymal cells (asterisks) and rare endothelial cells (arrow). B) Uterus (23 dpi), ISH. Staining in vascular smooth muscle cells (arrows) and perivascular interstitial mesenchymal cells (asterisk). C) Ovary (23 dpi), ISH. Staining within a corpus luteum (asterisk), in theca-interstitial cells (arrows), and in inflammatory cells within and around a vascular wall (white arrow). D) Oviduct (23 dpi), ISH. Staining in mesenchymal interstitial cells (asterisk) and intravascular inflammatory cells (arrow). E) Uterus (23 dpi), ISH. Extensive staining in the endometrial stroma (asterisk) and myometrial smooth muscle cells (arrows). F) Uterus (23 dpi), ISH. Extensive staining in the endometrial glandular epithelial cells (arrows). G) Endocervix (23 dpi), IHC. Extensive staining in mesenchymal cells. H) Vagina (23 dpi), IHC. Staining in submucosal mesenchymal cells (asterisk) and intraluminal cellular debris (arrow). Original magnifications ×40 (panels A, B, D, G, H), ×30 (panel C), ×20 (panels E, F).
1Current affiliation: StageBio, Frederick, Maryland, USA.