Volume 31, Number 12—December 2025
Research
Guinea Pig Model for Lassa Virus Infection of Reproductive Tract and Considerations for Sexual and Vertical Transmission
Figure 6

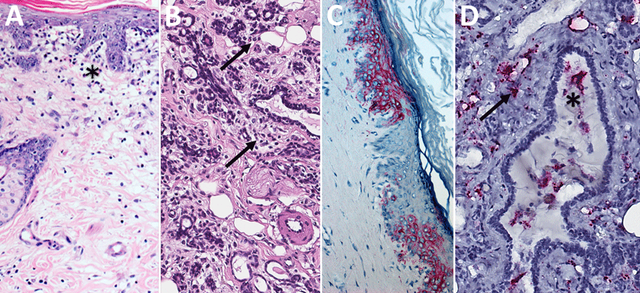
Figure 6. Histopathologic findings and detection of Lassa virus (LASV) antigens and RNA in mammary tissues by immunohistochemistry (IHC) and in situ hybridization (ISH) in strain 13/N guinea pigs lethally infected with LASV strain Josiah in study of guinea pig model for LASV infection of reproductive tract and considerations for sexual and vertical transmission. A) Mammary skin (23 dpi), hematoxylin and eosin stain. Mild interstitial lymphoplasmacytic infiltrates and edema (asterisk) in the superficial dermis. B) Mammary gland (25 dpi), hematoxylin and eosin stain. Mild interstitial lymphoplasmacytic infiltrates (arrows) in the periglandular stroma. C) Mammary skin (23 dpi), IHC. Staining in keratinocytes of the epidermis. D) Mammary gland (23 dpi), ISH. Staining around vessels and within the stroma between glands (arrow) and within cells in a mammary duct lumen (asterisk). Original magnifications ×10 (panels A–C), ×20 (panel D).
1Current affiliation: StageBio, Frederick, Maryland, USA.