Volume 31, Number 12—December 2025
Research
Guinea Pig Model for Lassa Virus Infection of Reproductive Tract and Considerations for Sexual and Vertical Transmission
Figure 9

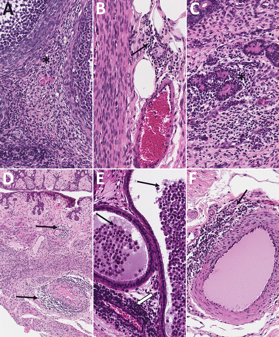
Figure 9. Histopathologic findings in reproductive tissues from strain 13/N guinea pig survivors of Lassa virus strain Josiah infection at 42 days postinfection (dpi) in study of guinea pig model for Lassa virus infection of reproductive tract and considerations for sexual and vertical transmission. Panels A–D depict samples from female guinea pigs; panels E–F depict male samples from male guinea pigs. A) Ovary (42 dpi) with lymphoplasmacytic inflammation in the stroma (asterisk). B) Oviduct (42 dpi) with focal perivascular and interstitial inflammation (arrow). C) Uterus (42 dpi) with endometrial stromal lymphoplasmacytic inflammation (asterisk) around glands. D) Vagina (42 dpi) with lymphocytic inflammation (arrows) around vessels in the vaginal wall. E) Epididymis (42 dpi) with dense perivascular lymphoplasmacytic inflammation around a vessel (white arrow) and heterophils within tubular lumens (black arrows). F) Penile connective tissue (42 dpi) with perivascular lymphocytic inflammation (arrow). Hematoxylin and eosin stain. Original magnification ×40 (panels A–C, E, F), ×10 (panel D).
1Current affiliation: StageBio, Frederick, Maryland, USA.