Disclaimer: Early release articles are not considered as final versions. Any changes will be reflected in the online version in the month the article is officially released.
Volume 31, Number 12—December 2025
Research
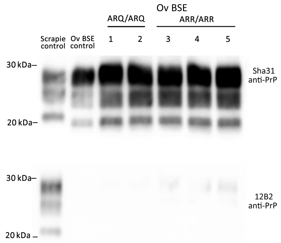
Oral Transmission of Classical Bovine Spongiform Encephalopathy in ARR/ARR Sheep
Figure 1

Figure 1. Detection of proteinase K–resistant core PrP in study of oral transmission of classical bovine spongiform encephalopathy in ARR/ARR sheep. Western blot was used for the detection of anti-PrP monoclonal antibodies Sha31 (epitope 145-YEDRYYRE-152) or 12B2 (epitope 89-WGQGG-93). BSE, bovine spongiform encephalopathy; ov, ovine; PrP, prion protein.
1These first authors contributed equally to this article.
Page created: November 18, 2025
Page updated: December 23, 2025
Page reviewed: December 23, 2025
The conclusions, findings, and opinions expressed by authors contributing to this journal do not necessarily reflect the official position of the U.S. Department of Health and Human Services, the Public Health Service, the Centers for Disease Control and Prevention, or the authors' affiliated institutions. Use of trade names is for identification only and does not imply endorsement by any of the groups named above.